دکتر مریم شیخانیان

بیماریهای لثه کودکان

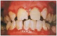
ژنژیویت مزمن یا التهاب لثه: در بچه ها شایع می باشد. لثه ها قرمز و متورم هستند و به راحتی خونریزی می کنند. اغلب این حالت به دلیل عدم رعایت بهداشت دهان می باشد که با مراقبت های دندانپزشکی مثل جرمگیری و برساژ دندان و نیز رعایت بهداشت مثل استفاده صحیح از مسواک و نخ دندان قابل درمان و پیشگیری است. گاهی اوقات نیز تنفس دهانی و یا شروع دوره بلوغ، لثه را مستعد التهاب می نمایند.

 lase

پریودنتیت مهاجم: منجر به از دست رفتن بافت های نگهدارنده اطراف دندان می شود.در رادیوگرافی به صورت تحلیل استخوان مشاهده می گردد.در برخی از نوجوانان دیده می شود. و معمولا زمینه ارثی دارد. نوع محدود (لوکالیزه) آن اغلب اولین دندانهای آسیاب دائمی و دندانهای قدامی را گرفتار می کند.

 

پریودنتیت مهاجم منتشر(جنرالیزه): ممکن است در زمان بلوغ شروع شود وکل دهان را گرفتار کند. همراه با التهاب لثه وتجمع فراوان جرم می باشد.منجر به از دست رفتن بافت های نگهدارنده دندان می شود. در رادیو گرافی(عکس از دندان) تحلیل استخوان دیده می شود.این بیماری معمولا زمینه ارثی دارد.

 

پریودنتیت همراه با بیماریهای سیستمیک: بچه هایی که مبتلا به دیابت تیپ I (وابسته به انسولین)،سندرم داون و برخی مشکلات خاص دیگر هستند ممکن است مستعد ابتلا به پریودنتیت (بیماری بافت های نگهدارنده دندان ) باشند.

علائم بیماری پریودنتال یا بافت های نگهدارنده دندان: خونریزی لثه، تورم لثه، تحلیل لثه، بوی بد دهان و تحلیل استخوان که در رادیو گرافی دیده می شود.

 

در صورت مشاهده علایمی چون خونریزی از لثه حین مسواک زدن یا گاز زدن خوراکی های سفت، تورم لثه و یا بوی بد دهان در کودک یا نوجوان به ویژه هنگامیکه سابقه بیماری لثه در والدین و یا اقوام نزدیک وجود داشته باشد، حتما به دندانپزشک متخصص کودکان، و در صورت صلاحدید وی به متخصص بیماری های لثه مراجعه نمایید و دستورات آنها را پیگیری نمایید تا از پیشرفت بیماری جلوگیری شود.

تشخیص، درمان به موقع و رعایت خوب بهداشت دهان می تواند از پیشرفت بیماری های پریودنتال ( تخریب بافت های نگهدارنده دندان ) جلوگیری کند . 

زیباسازی - ترمیم - روکش

ارائه با کیفیت ترین خدمات دندانپزشکی

عضویت خبرنامه

 
رتبه اول بورد تخصصی

نفر اول بورد تخصصی دندانپزشکی کودکان ایران

کسب رتبه اول در آزمون بورد تخصصی دندانپزشکی کودکان در سال 1373

ِسابقه کاری دکتر شیخانیان

بیش از سی سال سابقه کار

بیش از سی سال سابقه کار برای کودکان غیر همکار با پوسیدگی‌های وسیع

سایت شخصی دکتر مریم شیخانیان دندانپزشک متخصص  کودکان

پپیاده سازی و اجرا HZ

SiteMap